Здоровье
Хирурги пересадили нижегородцу его же собственный зуб вместо импланта
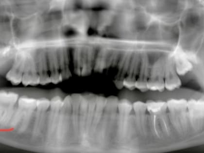
фото Алексея Никонова В Нижнем Новгороде хирурги Областной стоматологической поликлиники на Покровке успешно провели операцию по пересадке собственного зуба пациенту.
Четыре сотрудника скорой помощи пострадали в аварии в Балахне
В автомобиль медиков влетел ВАЗ-21120 Четыре сотрудника скорой помощи пострадали в аварии в Балахне.

Необычного пациента прооперировали в Нижнем Новгороде
Первую операцию на живой свинье провели в Нижнем Новгороде Врачи прооперировали живую свинью в Нижнем Новгороде.
Нижегородцы смогут бесплатно пройти маммографию и проконсультироваться у онкодерматолога
В феврале в Нижегородском областном клиническом онкологическом диспансере организуют тематические акции в рамках Дней открытых дверей.

3 и 17 февраля 2024 года в Выксунской ЦРБ состоятся дни открытых дверей
Жителей округа пригласили на диспансеризацию, в том числе углублённую, и профилактический медицинский осмотр.
В Нижегородской области стартовала Всероссийская донорская акция «Поколение добра»
В Нижегородской области стартовала Всероссийская донорская акция «Поколение добра».
Пациентку застрявшей в снегу нижегородской скорой отправили на амбулаторное лечение
Жизнеугрожающих симптомов не выявлено Пациентку скорой медицинской помощи, которая застряла из-за неочищенной дороги в Володарском районе, отправили на амбулаторное лечение.

Меры поддержки расширили для нижегородцев
Нижегородские участники СВО смогут получить бесплатную медпомощь без очереди Меры поддержки для военнослужащих расширили в Нижегородской области.
Зимняя идиллия: какая погода будет в Нижегородской области в первые выходные февраля
"Про Город" По данным "Яндекс.Погоды", 3 февраля жителей Нижегородской области ожидает настоящая зимняя идиллия.
"Скажите, доктор". Почему появляется рак и есть ли эффективные способы борьбы с онкологией?
В гостях у ведущей программы "Скажите, доктор!" Елены Евдокимовой - врач-онколог, заместитель главного врача по организационно-методической работе ГБУЗ НО «НОКОД» Наталья Алексеевна Белоглазова.